




Brush teeth. Load tray with unit dose CP gel as shown

Place tray over teeth. Gently press tray to move gel into place. Pressing too firmly will force gel out of tray

Gently wipe off excess gel with a toothbrush or clean, moist finger. Rinse thoroughly with water twice. Do not swallow.

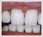
Before Treatment

After Treatment

Before Treatment

After Treatment

Before Treatment

After Treatment

Before Treatment

After Treatment


Before Treatment

After Treatment





Dr. Ishan Shah
DENTIST

Dr. Hetal Popat
ORTHODONTIST